最近在浏览 3D Slicer 影像时,发现一个非常实用但常被忽略的功能——Thick Slab Reconstruction(厚层重建)。
它可以显著提升结构对比度、减少层面噪声,对 MRI、CTA 等数据的连续观察非常有帮助。
什么是 Thick Slab Reconstruction
厚层重建(Thick Slab Reconstruction) 的原理,是在一个厚度范围内将若干层切片叠加后显示。
系统会对该范围内的像素进行投影合成,常见三种算法如下:
| 投影类型 | 英文名称 | 显示特点 | 适用场景 |
|---|---|---|---|
| 最大强度投影 | MIP (Maximum Intensity Projection) | 取厚度范围内的最大灰度值 | CTA、MRA、强化MRI病灶 |
| 最小强度投影 | MinIP (Minimum Intensity Projection) | 取最小灰度值 | 气道、脑室、囊变区显示 |
| 平均投影 | Mean (Average Intensity) | 平均灰度,平滑图像 | 降噪、平滑连续结构 |
理解要点:
普通切片相当于“单层照片”,而 Thick Slab 则像是“多层叠加成一张照片”,
能更好地表现立体结构的连续性。
启用方法
在 2D 视图(红/绿/黄)中,右键单击图像区域;
在弹出菜单中勾选
Thick Slab Reconstruction;
建议同时勾选
Interactive (实时更新模式)。
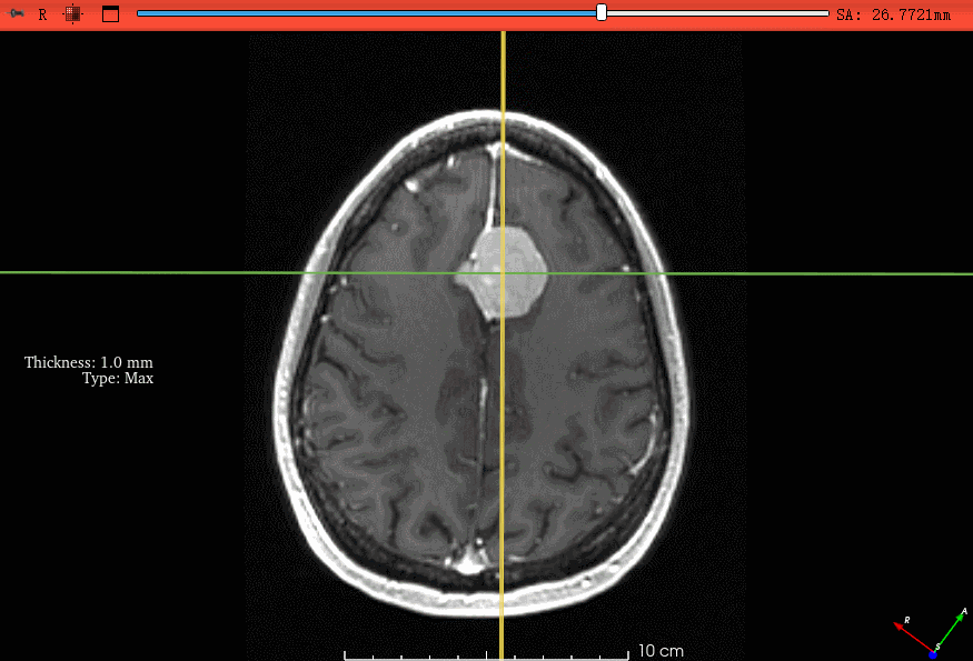
启用后,图像左上角会出现 “Thickness: × mm Type: Max” 提示,表示厚度与投影类型已生效。
参数说明
| 参数 | 说明 | 推荐值 |
|---|---|---|
| Thickness | 投影厚度(mm) | 脑部 3–8 mm;血管 10–20 mm |
| Type | 投影算法 (Max / Min / Mean) | 根据场景选择 |
| Interactive | 实时刷新开关 | 建议保持开启 |
| Slice Intersections | 显示交叉线 | 可辅助定位 |
实测技巧:
-
MIP 可强化血管或增强区信号;
-
MinIP 适合气腔、囊变区;
-
Mean 用于平滑影像。
GIF 动图展示了在 1 mm 厚度下开启 MIP 后,脑膜瘤强化区的信号更加明亮清晰。

进阶设置
想进一步微调滚动层面与布局,可在 View Controllers → Advanced 中调整:
-
Slice spacing mode:Manual → 切换为手动模式;
-
Manual spacing: 输入 1.0 – 2.0 mm 以提升滚动精度;
-
Lightbox layout: 可设置多行多列切片显示,快速浏览不同层面效果。
常见应用
| 场景 | 推荐设置 | 效果 |
|---|---|---|
| CTA/MRA 血管显示 | Type: MIP Thickness: 10–20 mm | 突出血管走行,减少背景干扰 |
| 增强MRI 病灶观察 | Type: MIP Thickness: 5–8 mm | 强化病灶信号,边界更清晰 |
| 囊性病变/气腔 | Type: MinIP Thickness: 3–6 mm | 显示低密度腔隙结构 |
| 结构平滑浏览 | Type: Mean Thickness: 3–5 mm | 减少噪声,连续观察结构变化 |
常见问题
| 问题 | 原因 | 解决方法 |
|---|---|---|
| 无 Thickness 提示 | 未启用 Thick Slab 功能 | 右键菜单中勾选启用 |
| 滚动过快 | Slice spacing 过大 | 手动设置 Manual spacing = 1 mm |
| 图像刷新卡顿 | 厚度太大 或 未勾选 Interactive | 减小厚度 并 启用交互 |
| 层面方向不对 | Orientation 错误 | 在 View Controllers 中重设方向 |
经验总结
Thick Slab 能让影像显示更连贯、对比更强;
操作简洁,只需右键勾选即可启用;
结合 MIP/MinIP/Mean 灵活切换,
可显著提升病灶、血管及结构的可视化质量。
小结与建议
对于 CTA 与 强化 MRI ,优先尝试 Max 模式;
观察低密度或空腔结构时,使用 **Min **;
科研图像展示或多层平均时,用 **Mean **;
建议搭配 Lightbox 与 Manual spacing 进行多层面展示。
参考讨论
更多厚层投影示例与技巧,可在 3D Slicer 中文论坛相关主题中查看:
https://forum.slicercn.com/t/topic/19295
请关注公众号:脑卒中与神经重症(微信号:ncz120),有高级会员教程连载。



