软件版本:5.8.1
问题描述:我现在已经有 STL 的 Model 节点,想把它变成可以在 CT 上覆盖的 Segmentation(segment 标签)。请问怎么操作
一、把 STL Model 变成 Segmentation
前提:CT 已作为 Volume 加载,STL 已作为 Model 加载。
方法 A:右键快速转换(如果菜单有)
-
在 Data 面板里找到你的 STL 模型(在 “Models” 下面)。
-
右键该模型,看看有没有类似:
Convert model to segmentation
-
点一下,会自动生成一个新的 Segmentation 节点,名称一般和原来的 Model 类似。
如果你这里看不到这个右键菜单,就用方法 B。
方法 B:用 Segmentations 模块导入
-
切到
Segmentations模块。 -
上方
Segmentation下拉框右侧,点 “新建” 图标,创建一个新的 Segmentation(比如叫 “STL_to_Seg”)。 -
在同一模块中往下找到
Import/Export models and labelmaps区域:-
“Source representation” 选择
Models -
“Models” 下拉框里勾选你的 STL 模型
-
点击
Import(导入到当前 Segmentation)
-
-
导入后,这个 Segmentation 里就多出一个 segment,形状与原 STL 一致。
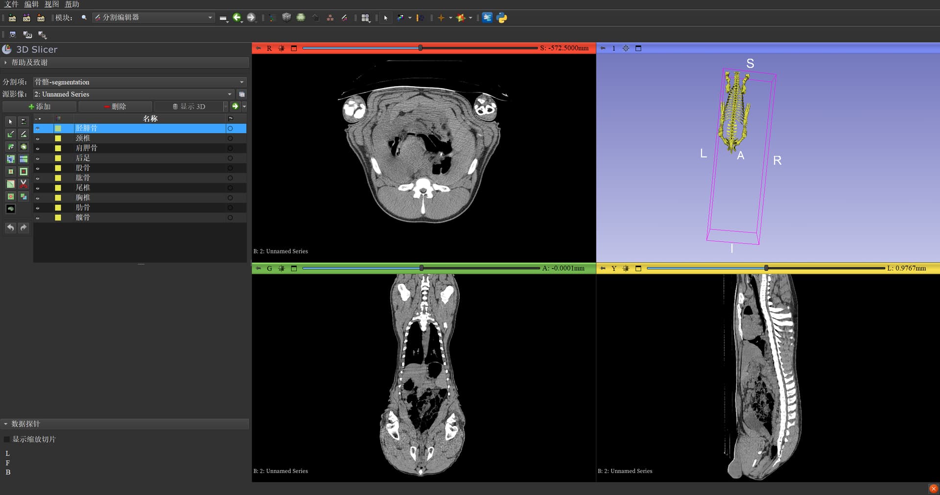
二、让 Segmentation 覆盖到 CT 切面上
-
切到
Segment Editor模块,选择刚才的 Segmentation 节点(上面的Segmentation下拉框)。 -
确认右侧 segment 列表里有你导入的 segment,并且前面“眼睛”图标是打开的。
-
在 2D 视窗(红/黄/绿窗口)左上角的小下拉按钮里,确保:
-
Segmentation(或Labelmap/Segments) 显示已勾选; -
你需要的话,可以在
Segmentations模块的 Display 里调节:-
2D opacity(透明度) -
Fill / Outline模式(只轮廓还是实心覆盖)
-
-
这样,STL 就变成了可在 CT 上覆盖的 Segmentation,可以继续用 Segment Editor 做修改和布尔操作。
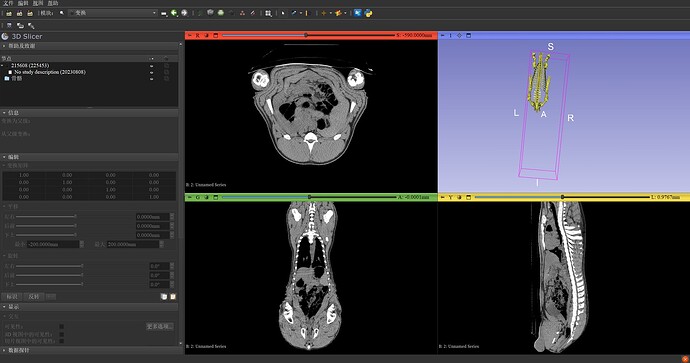
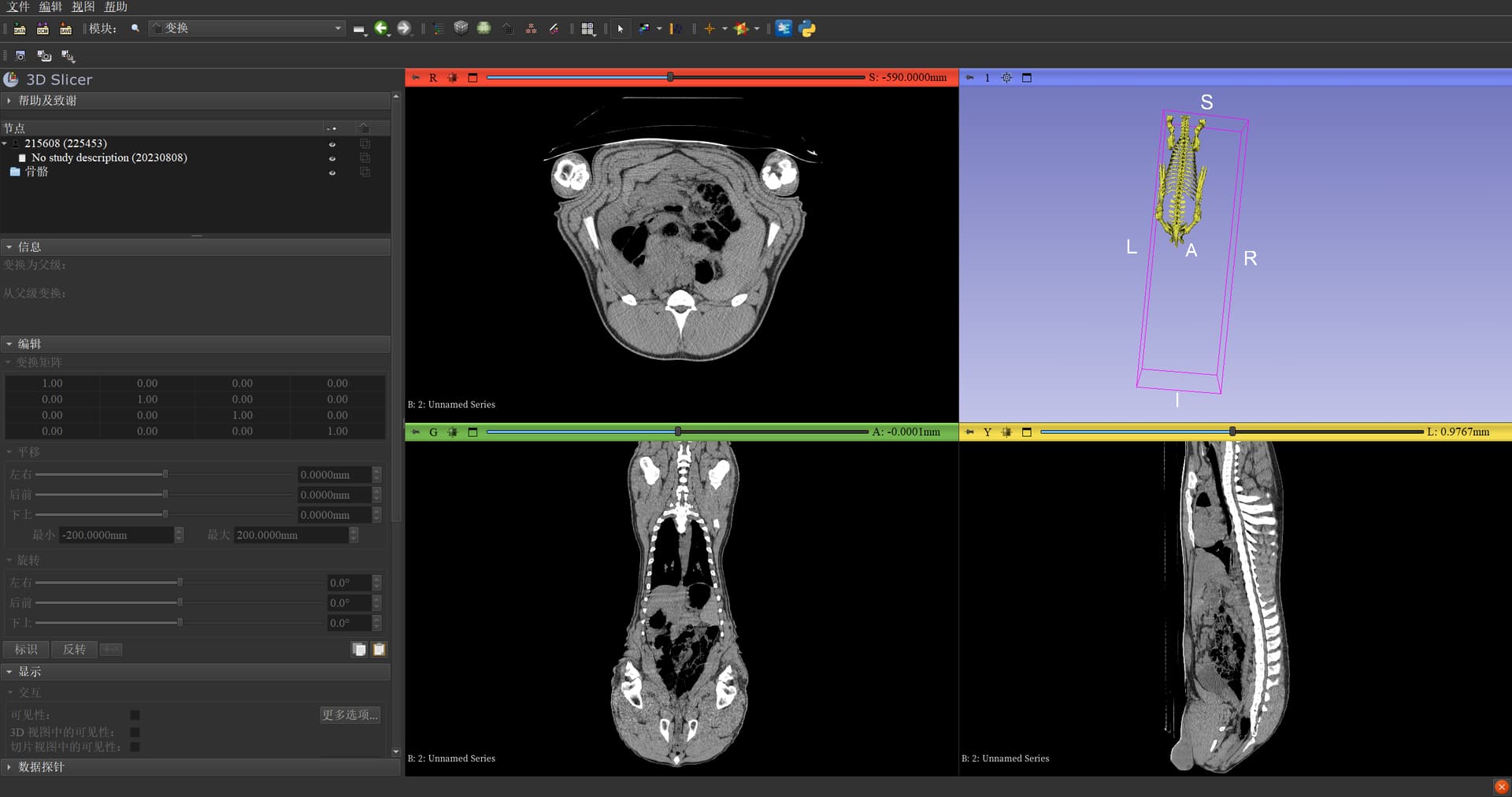
曹老师,通过右侧3D渲染可以看出Segmentation和原始CT图像是错位的

